Цель
Демонстрация ультразвуковых маркеров полипоидных поражений желчного пузыря и практического алгоритма стратификации риска (доброкачественное vs подозрение на карциному) с формированием корректного заключения.
Аудитория
Краткая информация о заболевании
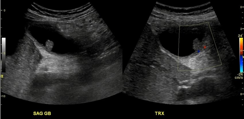
Клинический кейс: Женщина 58 лет, полипоидное образование желчного пузыря 11 мм
1. Анамнез и жалобы
2. Протокол УЗ-исследования (Основные находки)
При трансабдоминальном УЗИ билиарной системы выявлено:
3. Формирование заключения
Ультразвуковое заключение:
Эхографические признаки полипоидного образования желчного пузыря 11 мм на широком основании. С учетом размера и факторов риска — находка подозрительна; рекомендована консультация хирурга (вопрос холецистэктомии) / дообследование (EUS/CEUS по доступности).

4. Вопросы для обсуждения
Ответы:
С чем дифференцировать полипоидное образование желчного пузыря на УЗИ?
Полипоидная находка — не всегда опухоль. Дифференциальный ряд включает:
2. Как отличить истинный полип от сладжа, складок слизистой и артефактов?
Главная причина ошибок — артефакты и неполное сканирование. Технические приемы:
3. Когда нужны CEUS/EUS/МРХПГ или направление на операцию?
Да, при настораживающих УЗ‑признаках или неопределенности.
Дифференциальная диагностика полипоидных поражений желчного пузыря
Признак
Холестериновый полип
Аденома
Карцинома желчного пузыря
Размер
<10 мм (часто)
≥10 мм возможно
Часто >10 мм / быстро растет
Количество
Часто множественные
Обычно одиночная
Чаще одиночная масса
Основание
Тонкая ножка
Ножка/широкое основание
Широкое, инфильтративное
Контуры
Ровные
Ровные/умеренно ровные
Неровные, бугристые
Подвижность
Не смещается
Не смещается
Не смещается
Допплер
Нет/минимальная
Умеренная
Выраженная, хаотичная
Стенка ЖП
Без инвазии
Без инвазии
Утолщение/инвазия
Тактика
Наблюдение
Риск‑стратификация, часто хирург
Срочная маршрутизация (онко/хирург)
План занятия: «Опухоли и полипоидные поражения желчного пузыря» (80 минут)
Часть 1: Методология и УЗ‑паттерны (40 минут)
1. Протокол сканирования и «ловушки» (7 мин)
2. Доброкачественные находки (13 мин)
3. Подозрение на малигнизацию (12 мин)
4. Современные методы (8 мин)
Часть 2: Клиническая интерпретация и практика (40 минут)
1. Дифференциальный ряд (10 мин)
2. Тактика: наблюдение vs операция (10 мин)
3. Практикум: Формулировка заключения (15 мин)
4. Сессия «Вопрос-ответ» (5 мин)
Главные тезисы для слушателей:
Комментарии (0)
Пока нет комментариев