Vasiliy
Davolash boshlangan sana: 01.2025
3 oy oldin bemorning tishi yallig‘lanish va saqlab qolishning imkoni bo‘lmagani sababli olib tashlangan. Shu vaqt davomida lunkada to‘liq bitish va yetarli suyak shakllanishi kuzatildi.
Tish atraumatik usulda olib tashlanganligi sababli suyak atrofiyasi kuzatilmadi. Intraoral suratlar va rentgen tekshiruviga ko‘ra implantatsiya uchun qulay sharoit mavjud.
Implantatsiyadan oldingi fotosuratlar:


Mahalliy og‘riqsizlantirish ostida shilliq-qavat lappasi ko‘chirildi.

Implantat uchun loje tayyorlash:

Implantat o‘rnatish va milk plastikasi:


O‘rnatilgandan keyingi nazorat rentgeni:

7 kundan so‘ng nazorat ko‘rigi o‘tkazildi va tikuvlar olindi. Asoratlar kuzatilmadi.

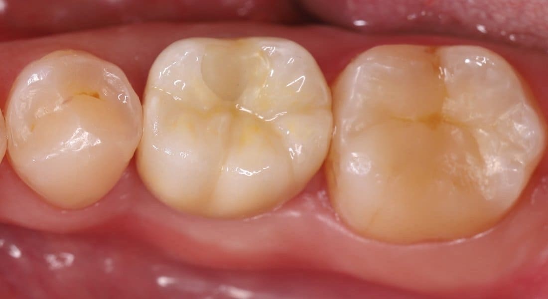
Osteointegratsiya muvaffaqiyatli kechgach, zirkoniy dioksidli doimiy koronka tayyorlanib o‘rnatildi.


Jarrohlik bosqichi: 30 daqiqa.
Davolash narxi: 8 800 AED.
Implantat muvaffaqiyatli integratsiyalandi. Chaynash funksiyasi va estetik ko‘rinish to‘liq tiklandi. Bemor shikoyat bildirmaydi.
Izohlar (0)
Hozircha izohlar yo‘q